Foot Pain
足底腱膜炎・種子骨障害・外反母趾
扁平足(PCFD)

2020年にアメリカ足の外科学会が扁平足をPCFD(Progressive Collapsing Foot Deformity)に変更し、足・足関節全体が変形に関与しているとし、形態的な変化に対して5つに分類しました。
Class A : 後足部外反
Class B : 中足部・前足部外転
足の前部および中部が外側に広がる外転変形が起こります。これにより、足のアーチがさらに低くなり、扁平足の進行が見られます。この段階では、特に距舟関節(足首の関節)が外転していることが観察されます。
Class C : 前足部内反
前足部の内反は、第1中足趾関節が背屈(足の甲側に反る)することで起こります。この変形により、足の内側縦アーチが崩壊し、荷重時に足の外側へ圧力が集中します。
それぞれの部位において、適切な治療を行うことで進行を止め、足の症状を改善させることができます。
中足骨頭痛 Turf Toe


中足骨頭痛
中足骨頭痛は単なる症状であり、外反母趾、リウマチ、足底板の損傷など様々な要因が絡んでいます。それぞれの原因に応じた治療が必要ですが、複数の要因が絡むことも多く、正確な原因を特定することが難しいケースがあります。足関節や後足部の問題が中足骨頭痛に関連している場合もあり、複雑な診断が求められます。
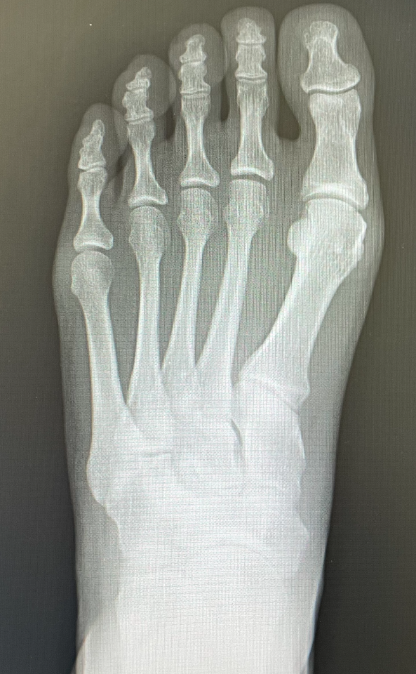
外反母趾による中足骨頭痛は、母趾が外側に変形し、第1中足骨が内反することで、他の中足骨に負担がかかり痛みが生じる症状です。特に、外反母趾が進行すると内側縦アーチや横アーチが扁平化し、足全体のバランスが崩れ、第2・第3中足骨頭に過度な負荷がかかります。外反母趾によって母趾が短くなり、相対的に伸びた第2・第3中足骨頭がtoe off時に強く地面に接するのも痛みの原因となります。
Turf Toe
ターフトゥは、足の親指の第一中足指節関節が過伸展することによって起こる捻挫(周囲の靭帯や腱が損傷)です。
サッカーやラグビー、アメリカンフットボールなど人工芝でのプレーでよく見られることでTurf(人工芝)toeと言われています。
扁平足と同様、足の形態的変化を読み取り治療することで痛みが消失します
Morton(モートン)病

Morton(モートン)病
Mulderテスト(圧迫テスト)によって陽性となれば、開張足(外反母趾や内反小指)などの足の形態的情報から痛みの原因を探ることで改善できます。
足部の機能
足の構造は、上から見た構造と下(床)から見た構造がかなり違いがあります。
Youtubeで紹介している動画は、足の外返し時の横アーチが足の後ろ側と前側で全く反対の動きをすることを説明しています。
この動画から足の甲側と足裏側で形状が異なるのはなんとなく想像していただけるのではないでしょうか。
平面として捉えるレントゲン画像から実際の状態を想像することがいかに難しいことか、多くの文献でもレントゲンの撮影方法に対して様々な取り組みをしている点からもどの角度で見れば問題がわかるかという足特有の難しさに気付かされます。
近年、3Dモデリングの技術がCTやMRIの進化によって紹介されるようになり、少しずつ足についての構造と機能がわかりつつあります。
当院でも、3D技術を駆使して皆様の足の状態を少しでも理解できるように勉強し続けます。
検査・治療・症例報告
Physical Test & Treatment & Case Teport
【症例1:種子骨障害 外反母趾 バスケットボール】
【症例2:足のつりは腰の神経障害】
【症例3:下腿筋力の神経学検査と足関節の不安定の症例】
脛腓関節の不安定と下腿筋収縮力の変化
【症例4:ハムストリングスの筋収縮テストとその治療】
ハムストリングスはその筋繊維の構造から筋力テストの方法が重要です。
Our Clinic
当院概要
所在地 | 東京都港区芝5−27−5山田ビル503 |
---|---|
最寄駅 | JR田町駅 徒歩2分 |
料金 | 初診:13,200円(税込) 再診(2回目以降)9,900円(税込) 再初診(前回から2ヶ月経過した場合):12,100円(税込) 高校生以下は2000円割引します。 訪問(出張)による施術を希望される方は施術代22,000円+交通費(※施術人数によって施術代はお安くなります) キャンセルポリシー:予約の変更またはキャンセルに対して、予約前日の場合は50%、当日の場合は100%のキャンセルフィーを頂戴しております。 |
駐車場 | 8/1よりビルの駐車場をお借りできることになりました。利用条件はこちらをご参照ください。 駐車場利用許可証をお渡ししますので事前にご連絡ください |
休み | 日・祝 休み |
受付時間 | 午前: 9:30〜14:00 |
連絡先 | 電話:03-6435-2437 Web予約はこちら LINE@:LINEからのご予約・ご相談 |


